Bear recovering in Lynnwood after team unites to save her
Published 1:30 am Saturday, March 2, 2019
LYNNWOOD — She’s one lucky bear.
After being hit by a car near Poulsbo, the young adult female dragged herself into the woods. In another time or place, that could have led to a sad ending. Fortunately for this black bear, she would soon come into contact with compassionate professionals and two local institutions devoted to saving wildlife.
“This bear was going through a painful ordeal out there in the woods and likely would have died a long, agonizing, drawn-out death,” said Nicholas Jorg, an officer with the state Department of Fish & Wildlife.
Instead, Pearl, as some of the rescuers dubbed her, was recovering Friday at the PAWS Wildlife Center. After 84 days, she was on the mend at the only permitted rehabilitation facility for black bears in Washington. Her release back into the wild is expected in late spring.
“An important piece of our story is to recognize everybody coming together,” said Jennifer Convy, PAWS wildlife director.
The Lynnwood nonprofit has taken in at least 123 bears since 1986, Convy said. Most of them are cubs, not adults weighing some 300 pounds. This case also was unusual because of the severe injuries.
Fish & Wildlife officers received the initial report about the bear Dec. 2, but they were unable to locate her during their first trip to the Kitsap Peninsula. A few days later, Jorg returned with colleagues, including three Karelian bear dogs. They quickly found the bear after Colter, the most experienced of the dogs, picked up her scent.
“An exciting ground capture ensued,” Jorg recalled Friday.
The bear was able to move, though not as well as a healthy animal.
“We had to push the bear into a few different positions until we could finally get a dart into her,” Jorg said. “If it wasn’t for the dogs, I wouldn’t have been able to do it on my own and the bear would have just died there.”
Because she was captured Dec. 7, the anniversary of the Pearl Harbor attacks, they nicknamed her Pearl. Given that she is a black bear, the name evolved to Black Pearl, a fictional ship in Disney’s “Pirates of the Caribbean” franchise.
The officer was proud of the teamwork so far. There was much more to come.
Aside from the injuries to her hind quarters, the bear appeared to be in excellent health. Officers called PAWS, which runs a hospital for sick and injured wildlife, across the parking lot from the companion animal shelter that’s familiar to much of the public.
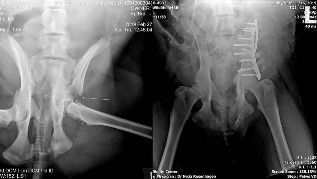
A physical exam and X-rays showed multiple rib and pelvic fractures.
For such a large patient, PAWS knew it would need help from veterinary specialists and a more spacious operating room. They also wanted to make sure the bear’s birth canal wasn’t damaged, as that could endanger her life back in the wild if she became pregnant.
Dr. John Huckabee, the veterinary program manager at PAWS, reached out to the Woodland Park Zoo and the Veterinary Specialty Center of Seattle. Their colleagues were willing to donate their time, talent and equipment.
Assistance included the zoo’s ambulance, outfitted with an anesthesia machine. On Dec. 13, the team immobilized the bear to take her to Woodland Park for surgery.
“We were really happy to make ourselves available to PAWS with this special patient,” said Dr. Darin Collins, Woodland Park’s director of animal health.
Saving wildlife takes more than a single organization, Collins said.
“It takes a vital community — all of us — to save wild animals and their wild places,” he said.
At the zoo, three veterinarians and six veterinary technicians from the different groups monitored the bear’s anesthesia and vital signs. They put the pelvic fragments into alignment with two metal plates and screws, like an orthopedic surgeon would use on a human.
Dr. Mark Garneau, a surgeon at the Veterinary Specialty Center, had never operated on a bear.
“I pretended that she was a large dog on the operating table — luckily, the anatomy was similar,” Garneau said.
Dr. Tori McKlveen, a Veterinary Specialty Center radiologist, described the post-op X-rays and ultrasound. The bear’s internal organs showed no sign of trauma.
After an ambulance ride, the bear was back at PAWS recovering in a straw bed inside a secure enclosure.
“She was actually up and walking the night after surgery,” said Dr. Nicki Rosenhagen, PAWS’ wildlife veterinarian.
By New Year’s Day, the bear was eating and walking between naps.
Visitors on Friday weren’t able to see the bear close-up. In fact, nobody can, not even rehabilitation staff.
“Our goal at PAWS was to keep her as quiet as possible to minimize the stress,” Rosenhagen said.
Each day, workers prepare Black Pearl a diet of dog food, fruits and vegetables, nuts, seeds and other proteins. They hide the grub in foliage and cardboard so she can forage.
The team has been using video monitors to track her progress. They’re happy with what they’ve seen. The bear’s use of her legs appeared “nearly normal,” Rosenhagen said Friday.
Within a few months, Pearl could be back roaming her natural habitat. Her caregivers are pondering a suitable drop-off spot.
“I hope that Pearl has a long life and gets back out and has cubs of her own some day,” said Collins, the veterinarian from Woodland Park Zoo. “Every animal on the planet is precious. It’s about co-existence with wildlife.”
Noah Haglund: 425-339-3465; nhaglund@heraldnet.com. Twitter: @NWhaglund.
Help a bear
PAWS’ average cost to care for an American black bear from intake through release is $3,000. Donations to the nonprofit wildlife center are accepted at paws.org.
