New study pulls back veil on Everett’s coronavirus patient
Published 1:30 am Friday, January 31, 2020
EVERETT — The man hospitalized in Everett for coronavirus got worse before he got better, according to a remarkably revealing scientific article in the New England Journal of Medicine.
All he has now is a cough.
The Snohomish County man was the nation’s first coronavirus case. The article, written by public health officials in the county and Washington, is guiding others worldwide in treating people with the virus.
The man, 35, has been in a special isolation room since Jan. 20 at Providence Regional Medical Center Everett, where his condition has been listed as satisfactory.
He went to an urgent care clinic on Jan. 19, four days after returning from Wuhan, China. His initial mild symptoms progressed to atypical pneumonia, known as walking pneumonia, on his fifth night in the hospital.
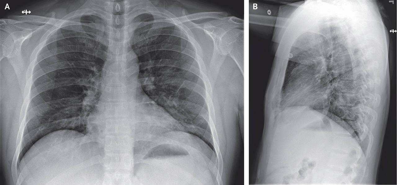
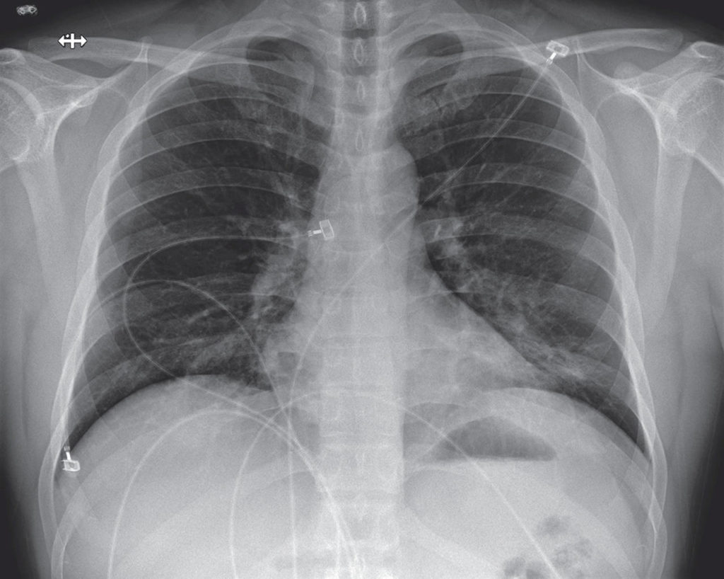
The article details the patient’s symptoms — everything from fatigue, nausea, diarrhea to a runny nose — over time and graphs his lab results. It shows X-rays of his lungs.
Collaborators on the article include Snohomish Health District’s Dr. Christopher Spitters and Hollianne Bruce, an epidemiologist, as well as experts from Providence, Washington State Department of Health, the Centers for Disease Control and Prevention and others.
“We are honored to be part of the … article and we are grateful to the patient for allowing such a detailed look at his treatment,” Spitters said. “We hope this will be helpful for public health professionals and medical providers around the country who are currently responding to or may later need to respond to the novel coronavirus.”
In the U.S., at least six people in four states have been confirmed to have the virus.
Results for two other Snohomish County residents tested were negative, as were three University of Washington students who traveled to Wuhan and later developed symptoms.
Tests remain pending for six people statewide, state health officials reported Friday, while 14 others have learned their results were negative. The state now lists 65 people as being monitored for being in close contact with the Snohomish County man.
The CDC has tested 241 people from 36 states. Of these, 114 were negative and 121 were pending on Friday.
Of the six in the U.S., five had traveled to Wuhan. The other is married to a woman who was found to be infected. This was the first case of person-to-person transmission in the United States.
On Thursday, the virus was declared a global health emergency by the World Health Organization.
Many stores around the region and the country have sold out of face masks, which have not been deemed necessary for the general public.
Infectious disease experts say to wash hands frequently and thoroughly with warm water and soap, and to clean and disinfect frequently used surfaces.
Andrea Brown: abrown@heraldnet.com; 425-339-3443. Twitter @reporterbrown.
